×
至維牙醫診所_中秋節賀卡

花好月圓,齒樂常伴

花好月圓人團圓,幸福美滿樂無邊!至維牙醫診所祝您中秋節快樂,願您和摯愛的家人,都能擁有健康亮麗的牙齒,共享每一個美好時刻! 🏮❤️
至維牙醫診所_中秋節賀卡icon
【All-on-4真實案例】陳先生下顎重建,6小時立即恢復咀嚼

【All-on-4真實案例】陳先生下顎重建,6小時立即恢復咀嚼

「能再咬下牛肉的時候,真的很感動!」回診的陳先生開心的跟我們分享!

63歲的陳先生,已退休多年,生活步調簡單規律,是一位熱愛美食、對注重健康的人。但長年受到牙周病困擾,使他的下顎牙齒慢慢脫落,最大的影響便是咀嚼困難,連最愛的牛肉、堅果、蔬果等食物,都變成「看得到吃不到」的遺憾。

陳先生無奈的表示:「咬不動的東西就只能用吞的,吃東西變得無法好好享受。」

【All-on-4真實案例】陳先生下顎重建,6小時立即恢復咀嚼

看見網路好評,陳先生選擇相信至維牙醫

陳先生坦言,他其實已經考慮重建牙齒很久,但一直沒有遇到讓他放心的診所與醫師。直到有一天,他在網路上看到許多病患對至維牙醫診所的肯定評價,特別口腔顎面外科專科的賴醫師,在All-on-4全口重建手術方面經驗豐富、親自評估規劃,才讓他下定決心動手術。

下顎 All-on-4 重建,6小時恢復咬合能力

採用3D全口電腦斷層掃描與評估,賴醫師建議他進行下顎All-on-4植牙手術,以4根植體撐起整排固定式假牙,達到穩定、耐用、自然的效果。整個手術流程僅花6小時,就幫助陳先生找回飲食的權利!

【All-on-4真實案例】陳先生下顎重建,6小時立即恢復咀嚼

一日重建

手術僅需約6小時,當日即可裝上固定式臨時假牙,立即恢復基本咀嚼與美觀。

專科醫師執刀

由口腔顎面外科醫師親自評估、規劃與執刀,確保手術的精準度與安全性。

手術後輕鬆恢復

陳先生手術後開心表示:「手術比我想像中快,恢復過程也很輕鬆,一切比我想像中的好多了。」

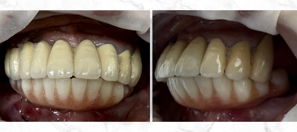
all-on-4 成果展現

※ all-on-4 成果展現

口腔顎面外科醫師領軍主導醫療團隊,值得您信賴的牙醫診所

我們恭喜陳先生,重拾自在飲食的美好!
如果您也正為缺牙所苦,別再猶豫,讓專業團隊為您找回健康自信的笑容。

讓我們恭喜陳先生,重拾自在飲食的美好!

※ 讓我們恭喜陳先生,重拾自在飲食的美好!

立即線上預約諮詢,我們將盡快回覆您。

立即諮詢

🔺衛教聲明:

【非治療示意的AI圖、衛教圖、無真人畫面警語】
🔺本內容資訊僅供衛教示意,治療方式與結果會因個別狀況而異,請以醫師評估與建議為主,診所保有最終解釋權。

【有用到真人畫面、案例圖】
🔺本內容資訊僅供衛教參考,實際療程效果因人而異,本資訊無法代替醫師問診,療程效果與風險均以醫師診斷為主。文案中照片僅作為輔助醫師治療說明或衛教資料之輔助圖片影片,並經當事人簽署授權書同意曝光。副作用:術後感染、出血、神經損傷等;禁忌症:嚴重骨質疏鬆、牙齦炎症未治療者等。更多完整醫療狀況由醫師詳細解說。

【治療示意AI圖警語】
🔺本內容僅供衛教參考,實際療程效果因人而異,本資訊無法代替醫師問診,療程效果與風險均以醫師診斷為主。文案中照片僅作為輔助醫師治療說明或衛教資料之輔助圖片影片,並圖片僅為示意圖參考作用。副作用:術後感染、出血、神經損傷等;禁忌症:嚴重骨質疏鬆、牙齦炎症未治療者等。更多完整醫療狀況由醫師詳細解說。